Томосинтез(ТС) – рентгенографический метод исследования, при котором производится послойное изображение исследуемой области с толщиной среза от 0,5 мм, что позволяет увидеть мельчайшие патологические изменения. Свое широкое распространение в онкологии он получил в следствии того, что с его помощью возможно:
- Выявление первичной раковой опухоли и метастатического процесса. Послойное исследование может играть решающую роль в обнаружении не только первичной опухоли, но и метастазов;
- Диагностика опухолевых поражений главных и долевых бронхов;
- Оценка плевролёгочной патологии у пациентов, контактировавших с асбестовой пылью, и у онкологических больных после комбинированного плевродеза;
- Выявление отдельных небольших теней метастазов, которые невидимы при применении других методов рентгенологического исследования;
- Изучение характера и особенностей небольших ограниченных патологических процессов в главных, долевых, зональных, сегментарных и субсегментарных бронхах, лимфатических узлах лёгких и средостения.
В процессе ТС производится определенное количество изображений исследуемой области за один проход рентгеновской трубки. В результате исследования ОГК получается в среднем 53 томограммы во фронтальной плоскости. При применении ТС для исследования мелких внутрилёгочных очагов чувствительность и специфичность примерно в два раза выше, чем при традиционной рентгенографии, а дозовая нагрузка меньше, чем при КТ. Это дает возможность увидеть более точную картину патологических изменений в сравнении с обычной рентгенографией.

На рентгенограмме определяется ателектаз С3 правого лёгкого, тогда как на ТС хорошо видна ампутация В3.
Заключение: Рак верхней доли правого лёгкого.
Он применяется для диагностики воспалительных заболеваний, например, пневмонии, в диагностике туберкулёза и послеоперационных изменений. В диагностике опухолевого поражения лёгких и средостения.
На этом рисунке представлено состояние после торакотомии справа с расширенной нижней билобэктомией с бронхомиопластикой.


Воспалительные изменения правого лёгкого, пневмоторакс справа.
а – цифровая рентгенограмма ОГК в прямой проекции; б – цифровая рентгенограмма ОГК в правой боковой проекции; в – ТС ОГК.
Оставленная верхняя доля правого лёгкого расправлена не полностью, уменьшена в объёме. Прозрачность оставленной доли снижена за счёт гиповентиляции и наличия на этом фоне неоднородного уплотнения лёгочной паренхимы, вероятно воспалительные изменения (красные стрелки), пневмоторакс (синяя стрелка). При ТС – отмечаются участки неоднородного уплотнения лёгочной паренхимы (красные стрелки), на этом фоне прослеживаются просветы бронхов (жёлтые стрелки).
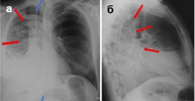
Послойное исследование может играть решающую роль в выявлении не только первичной раковой опухоли, но и метастатического процесса. ТС может применяться в оценке метастатического поражения лёгких при разной локализации первичного очага, а так же даёт возможность выявить при метастатических опухолях отдельные небольшие тени метастазов, невидимые при применении других методов рентгенологического исследования.


Метастатическое поражение лёгких: а – цифровая рентгенограмма ОГК в прямой проекции; б – цифровая рентгенограмма ОГК в правой боковой проекции; в, г, д, е – ТС ОГК.
Пациентка с диагнозом рак молочной железы. В средней доле правого лёгкого неотчётливо определяется округлой формы очаговая тень средней интенсивности с неровными контурами. На ТС в средней доле правого лёгкого выявляется группа очагов (желтый круг), дополнительно в обоих лёгких определяются множественные очаги неправильной формы, размерами до 10 мм (желтые круги). Заключение: Метастазы в обоих лёгких.
Также огромную роль имеет ТС при оценке послеоперационных изменений в грудной клетке.

Расширенный желудочный стебель, гидроторакс слева: а – цифровая рентгенограмма ОГК в прямой проекции; б – цифровая рентгенограмма ОГК в правой боковой проекции; в, г – ТС ОГК.
На рисунке состояние после лапароскопии, торакотомии, расширенной субтотальной резекции пищевода с одномоментной пластикой широким желудочным стеблем и анастомозом в плевральной полости. На рентгенограмме грудной полости в нижней доле правого лёгкого определяется фокус неоднородного уплотнения лёгочной паренхимы (красные стрелки) – воспалительные изменения? желудочный стебель? В левой плевральной полости гидроторакс (жёлтая стрелка). При ТС – в правом гемитораксе определяется расширенный желудочный стебель – гастростаз (зелёные стрелки) – с неоднородным содержимым, наличием в нем газа (синие стрелки). Гидроторакс слева (жёлтые стрелки).
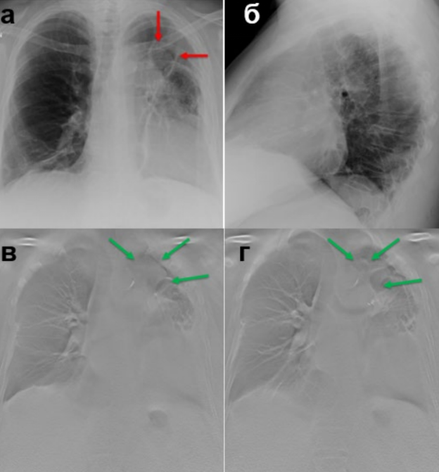
На следующем рисунке состояние после торакотомии слева, клиновидной резекции S10, краевой резекции S2, метастазэктомии S1 левого лёгкого.

Послеоперационная гематома левого гемиторакса – описание в тексте (оригинальный рисунок): а – цифровая РГ ОГК в ПП; б – цифровая РГ ОГК в левой БП; в, г – ТС ОГК.
Состояние после реторакотомии слева, анатомической резекции 1-3 сегментов левого лёгкого. На обзорной рентгенограмме органов грудной полости – в проекции резецированных сегментов S1-3 определяется уплотнение с четкими неровными контурами – гематома? (красные стрелки). При ТС данные изменения выявляются более отчётливо (зелёные стрелки) – гематома.
Заключение
В настоящее время изучение возможностей и ограничений ТС, а главное, разработка показаний к применению этого метода при исследовании различных органов и систем остается актуальной. ТС необходим в первую очередь для повышения диагностических возможностей и уменьшения вредного действия ионизирующего излучения как на исследуемого, так и на персонал кабинета. Метод ТС является ценным добавочным методом исследования в диагностике лёгочных заболеваний; в случаях же, подлежащих оперативному вмешательству, исследования послеоперационных осложнений. Так же метод ТС является более предпочтительным, чем цифровая рентгенография, при исследовании костей скелета и сложных анатомических зон, а также является методом выбора наблюдения после остеосинтеза или имплантации эндопротеза.

